
Cuidados post operatorios
Seguir correctamente estas indicaciones es clave para una buena cicatrización y para evitar complicaciones. Primeras 24 horas Alimentación en las primeras 24…

Seguir correctamente estas indicaciones es clave para una buena cicatrización y para evitar complicaciones. Primeras 24 horas Alimentación en las primeras 24…

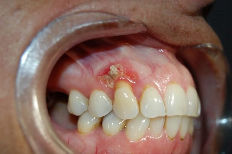
¿Qué son los bifosfonatos? Los bifosfonatos son fármacos utilizados para tratar diversas enfermedades metabólicas y del sistema óseo, entre ellas: Son medicamentos…

¿Qué es la bichectomía? La bichectomía es un procedimiento quirúrgico que consiste en la extracción de las bolsas de Bichat, ubicadas en…

¿Qué es la lipopapada? La lipopapada es un procedimiento mínimamente invasivo que consiste en retirar el exceso de grasa localizada debajo del…

¿Qué es un implante dental? El implante dental es la solución más efectiva y duradera para reemplazar la pérdida de una pieza…

¿Qué es el bruxismo? El bruxismo es una condición en la que una persona aprieta o rechina los dientes de forma involuntaria,…